หน้าแรก
ศูนย์ความรู้สุขภาพผู้หญิง
PCOS คืออะไร? 5 เรื่องสำคัญที่ผู้หญิงควรรู้ และรักษาหายไหม?

ประจำเดือนมาไม่ปกติ เป็นสิว น้ำหนักขึ้นง่าย หรือมีขนดกผิดปกติ…ใช่ PCOS หรือเปล่า? แล้วถ้าเป็น PCOS รักษาหายไหม?
คำว่า “PCOS” เป็นหนึ่งในคำค้นหาที่ผู้หญิงพิมพ์ใน Google บ่อยมาก โดยเฉพาะวัยทำงานที่มีปัญหา ประจำเดือนมาไม่ปกติ มีบุตรยาก หรือสงสัยฮอร์โมนผิดปกติ
บทความนี้จะอธิบายแบบเข้าใจง่าย แต่ครบตามหลักวิชาการ ว่า PCOS คืออะไร อาการเป็นอย่างไร ตรวจอย่างไร และรักษาหายไหม
PCOS คืออะไร?
PCOS ย่อมาจาก Polycystic Ovary Syndrome
คือภาวะฮอร์โมนเพศหญิงไม่สมดุล ทำให้การตกไข่ผิดปกติ
ลักษณะสำคัญของ PCOS ได้แก่:
ประจำเดือนมาไม่สม่ำเสมอ หรือขาดประจำเดือน
ระดับฮอร์โมนเพศชายสูง ได้แก่ สิวขึ้น หน้ามัน ขนดก ผมร่วง
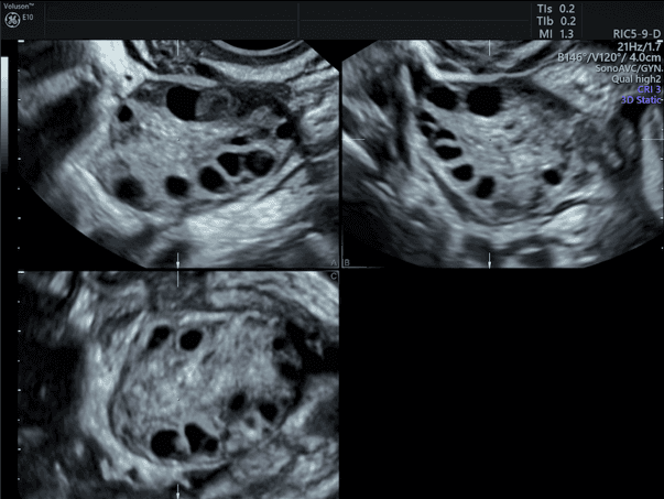
รังไข่มีถุงไข่ขนาดเล็กหลายๆใบจากอัลตราซาวด์

ตามเกณฑ์วินิจฉัยที่ใช้กันทั่วโลก ต้องเข้าเกณฑ์อย่างน้อย 2 ใน 3 ข้อ จึงจะวินิจฉัยได้
แนวทางนี้อ้างอิงจาก American College of Obstetricians and Gynecologists และแนวทางสากลด้านเวชศาสตร์การเจริญพันธุ์
5 อาการที่พบบ่อยในผู้หญิงที่เป็น PCOS
1️⃣ ประจำเดือนมาไม่ปกติ
อาจมาห่างเกิน 35 วัน หรือบางรายขาดหลายเดือน
นี่เป็นอาการที่พบได้บ่อยที่สุด
2️⃣ มีสิวมาก ผิวมัน ขนดก
เกิดจากฮอร์โมนเพศชายสูง (Hyperandrogenism)
บางรายมีผมบางบริเวณกลางศีรษะ
3️⃣ น้ำหนักขึ้นง่าย ลดน้ำหนักยาก
ภาวะดื้อต่ออินซูลินพบได้บ่อยใน PCOS
ทำให้น้ำหนักเพิ่มง่าย และมีความเสี่ยงเบาหวานในอนาคต
4️⃣ มีบุตรยาก
เพราะไข่ไม่ตกสม่ำเสมอ
PCOS เป็นหนึ่งในสาเหตุหลักของภาวะมีบุตรยากในผู้หญิงวัยเจริญพันธุ์
5️⃣ อัลตราซาวด์พบถุงไข่หลายใบ

รังไข่จะมีลักษณะถุงไข่เล็ก ๆ หลายใบเรียงรอบขอบรังไข่
PCOS รักษาหายไหม?
คำตอบตรงไปตรงมา:
PCOS ไม่ได้หายขาดแบบโรคติดเชื้อ
แต่สามารถ “ควบคุมอาการได้ดี” หากรักษาอย่างเหมาะสม
การรักษาจะขึ้นอยู่กับเป้าหมายของผู้ป่วย เช่น
ต้องการให้ประจำเดือนปกติ
ต้องการรักษาสิว
ต้องการมีบุตร
แนวทางการรักษา PCOS
1️⃣ ปรับพฤติกรรมและควบคุมน้ำหนัก
การลดน้ำหนักเพียง 5–10% สามารถช่วยให้ไข่ตกดีขึ้นได้
2️⃣ ยาคุมกำเนิด
ใช้ปรับฮอร์โมนให้สม่ำเสมอ
ช่วยลดสิว ลดขนดก และทำให้ประจำเดือนมาตามรอบ
3️⃣ ยากระตุ้นไข่ (กรณีต้องการมีบุตร)
แพทย์อาจใช้ยากระตุ้นไข่ เพื่อช่วยให้เกิดการตกไข่
4️⃣ ยาควบคุมอินซูลิน
ในบางรายที่มีภาวะดื้อต่ออินซูลิน แพทย์อาจพิจารณายาช่วยปรับสมดุล
PCOS อันตรายไหม?
ถ้าไม่ดูแล อาจเพิ่มความเสี่ยง:
เบาหวาน
ไขมันในเลือดสูง
เยื่อบุโพรงมดลูกหนาผิดปกติ
มะเร็งเยื่อบุโพรงมดลูกในระยะยาว
ตามคำแนะนำของ World Health Organization การติดตามสุขภาพสม่ำเสมอช่วยลดความเสี่ยงภาวะแทรกซ้อนได้
ควรพบแพทย์เมื่อไร?
ควรมาพบแพทย์หาก:
ประจำเดือนขาดเกิน 3 เดือน
พยายามตั้งครรภ์เกิน 1 ปีแล้วยังไม่สำเร็จ
มีสิวรุนแรงหรือขนดกผิดปกติ
น้ำหนักเพิ่มเร็วผิดปกติ
การตรวจประเมินจะรวมถึงการซักประวัติ ตรวจเลือดฮอร์โมน และอัลตราซาวด์รังไข่
สรุปสั้น ๆ

PCOS คือภาวะฮอร์โมนไม่สมดุลที่ทำให้ไข่ตกผิดปกติ ไม่หายขาด แต่ควบคุมได้
การรักษาขึ้นอยู่กับเป้าหมายของผู้ป่วย และควรได้รับการดูแลโดยแพทย์เฉพาะทาง
หากมีประจำเดือนมาไม่ปกติ หรือสงสัยว่าตนเองอาจมีภาวะ PCOS
แนะนำให้มาพบแพทย์ เพราะการตรวจประเมินตั้งแต่ต้นช่วยวางแผนดูแลได้อย่างถูกต้อง
ผู้เขียน
นพ. วิชเดช วิชชุลดา
แพทย์เฉพาะทางสูติศาสตร์และนรีเวชวิทยา
กำลังศึกษาต่ออนุสาขา Maternal-Fetal Medicine
โรงพยาบาลจุฬาลงกรณ์
ผลงานวิจัยตีพิมพ์ใน International Journal of Transgender Health
เอกสารอ้างอิง
American College of Obstetricians and Gynecologists. Practice Bulletin: Polycystic Ovary Syndrome.
World Health Organization. Reproductive health guidelines.
Williams Gynecology, 4th Edition.